杭州铂赛生物科技有限公司

7

手机商铺

qrcode
商家活跃:
产品热度:
  • NaN
  • 0.9000000000000004
  • 0.9000000000000004
  • 1.9000000000000004
  • 0.9000000000000004
动物实验/细胞实验//分子实验/项目课题指导
询价

杭州铂赛生物科技有限公司

入驻年限:7

  • 联系人:

    蔡老师

  • 所在地区:

    浙江 杭州市 滨江区

  • 业务范围:

    技术服务、原辅料包材、体外诊断、耗材、实验室仪器 / 设备、医疗器械、书籍 / 软件

  • 经营模式:

    医院药店 生产厂商 经销商 代理商

在线沟通

公司新闻/正文

全程高能 IF 14.1! “多组学+实验验证”发ADV SCI,中山大学癌症中心揭示PARylation调控结直肠癌新机制~

251 人阅读发布时间:2025-07-16 09:47

“从临床中来,到临床中去”,做基础研究,既要踏实也得肯干,没方向就创造方向,有方向还要找新方向,解决临床问题,最终转化落地!
今天,为大家分享一篇关于聚焦于多聚ADP-核糖基化修饰(PARylation)的热门研究,它没有停留在PARylation的常规DNA修复中,而是另辟蹊径链接代谢调控,为靶向干预结直肠癌提供了新视角,成功上线《Advanced Science》。说到这里就不得不提这本期刊,24年年发文量高达3000+,IF=14.1,中科院一区,国人友好期刊,近三年国人发文比例约74.29%,中科院、清北等重点机构为主要贡献者,没预警。只要注重基础与应用研究,都可以挑战发表,说一句“发一篇吃一生”也不为过!
结直肠癌(CRC)是全球癌症相关死亡的主要原因之一,其发生发展常伴随代谢重编程,尤其是糖酵解增强和氧化磷酸化(OXPHOS)抑制。然而,驱动代谢异常的关键分子机制尚不明确。Nudix水解酶家族成员NUDT13在多种应激条件下表达异常,但其在CRC中的作用未见报道。
2025年2月,中山大学癌症中心王凤伟、谢丹共同通讯在期刊《Advanced Science》期刊发表论文“Nudix Hydrolase 13 Impairs the Initiation of Colorectal Cancer by Inhibiting PKM1 ADP-Ribosylation”,揭示了NUDT13通过抑制PKM1的PARylation修饰,调控结直肠癌(CRC)代谢重编程及肿瘤发生的全新机制,为靶向干预提供了新思路。
新闻图片1
 

研究亮点

本研究从临床异常到分子机制,再到转化应用,全程高能!
  • 临床新发现:通过横向对比早期CRC、腺瘤和癌旁组织,结合ApcMin/+小鼠模型纵向追踪癌变进程,精准捕捉肿瘤发生的临界调控事件。
  • 多功能验证:从修饰酶鉴定(PARP1特异性抑制剂筛选)、位点定位(ADPredict算法指导的多位点突变)、到效应解析(泛素化类型检测)和干预机制(体外去PARylation实验),形成完整的证据链,并创新性排除其他水解酶干扰,证实NUDT13对PKM1的特异性调控。
  • 机制关联:将代谢表型与分子机制深度关联,在表型层面采用缺氧培养结合细胞能量代谢明确氧化磷酸化转换,在机制层面揭示PARylation-泛素化-降解的三级调控级联,并精确定位Nudix结构域中E245/E248/E249的关键作用;
  • 转化应用:不仅验证了已上市PARP抑制剂Olaparib的潜在治疗价值,还创新性开发基于Nudix结构域的穿透性治疗多肽N13-iRGD,为临床转化提供了双重选择。
本研究实现了从基础发现到治疗策略的完整转化医学闭环,巧妙连接了PARylation修饰与肿瘤代谢,不仅为CRC治疗提供新靶点,也为基于蛋白翻译后修饰的药物开发树立了范例。如果您也对这个方向感兴趣,欢迎右上角联系我们,24小时随时在线恭候大驾!

研究思路

新闻图片2

模拟NUDT13最保守结构域的短肽在CRC中的治疗潜力。

  1. 临床样本分析:对36对早期CRC组织与癌旁组织、14对腺瘤组织进行转录组测序,筛选出NUDT13作为潜在抑癌基因。
  2. 功能验证:通过体外细胞实验(增殖、代谢表型分析)和体内小鼠模型(异种移植、基因敲除),明确NUDT13对CRC的抑制作用。
  3. 机制探索:结合免疫共沉淀(Co-IP)、质谱分析和体外酶活实验,揭示NUDT13通过抑制PKM1的ADP-核糖基化(PARylation)稳定其蛋白水平,从而促进OXPHOS。
  4. 转化应用:设计模拟NUDT13功能的多肽,验证其抗肿瘤效果。

研究结果

1、NUDT13 抑制结直肠癌的肿瘤发生

通过转录组分析锁定NUDT13为CRC发生的关键抑制因子,其在癌变过程中显著下调且与不良预后相关。功能实验揭示NUDT13在体内外均能抑制肿瘤生长,但微环境依赖性表型差异提示其可能通过调控肿瘤-宿主互作发挥抑癌作用,为后续机制研究奠定基础。
新闻图片3

图1.NUDT13表达下调驱动结直肠癌的发生和发展

2、NUDT13与PKM1蛋白相互作用并上调PKM1表达

通过系统的分子互作分析和功能验证,首次揭示NUDT13作为核定位蛋白与PKM1存在特异性相互作用,并正向调控其蛋白稳定性。临床样本分析进一步证实NUDT13-PKM1轴在直肠癌发生发展中的关键作用,为深入理解结直肠癌代谢重编程的分子机制提供了新的理论依据。
新闻图片4

图2.NUDT13与PKM1相互作用并上调其表达

3、NUDT13通过PKM1重新编程结直肠癌细胞的糖代谢

通过系统的功能实验证实,NUDT13通过特异性上调PKM1表达,促使CRC细胞从糖酵解代谢模式转变为氧化磷酸化模式,从而抑制肿瘤生长。这一代谢重编程效应在体内外实验中得到验证,且具有氧依赖性特点。
新闻图片5

图3.NUDT13通过PKM1使肿瘤细胞依赖氧气生存

4、NUDT13的NH结构域是其与PKM1结合的关键区域

通过结构域定位分析,首次明确NUDT13的NH结构域是其与PKM1发生功能性互作的必要条件,这一发现不仅揭示了NUDT13-PKM1相互作用的精确分子界面,也为后续开发靶向该结合界面的抑制剂提供了关键理论依据。
新闻图片6
 

图4.NUDT13的NH结构域对于与 PKM1 的结合至关重要

5、NUDT13通过减少PKM1的K48和K63连接的泛素链来稳定PKM1

通过位点特异性泛素突变体分析,深入揭示了NUDT13通过特异性拮抗PKM1蛋白N端K48/K63连接型泛素链的形成,从而阻断其蛋白酶体降解途径的分子机制。该发现不仅阐明了NUDT13稳定PKM1的精确作用靶点,也为理解蛋白质稳态调控在肿瘤代谢重编程中的作用提供了新视角。
新闻图片7

图 5. NUDT13通过减少PKM1的K48和K63 连接的泛素链来防止其降解

6、PARP1诱导PKM1的ADP-核糖基化信号进行泛素化和降解

通过体/外内PARylation实验,证实PARP1可直接催化PKM1的PARylation,该过程可被Olaparib或NUDT13过表达抑制。通过对ADP-核糖化的活性位点预测,首次揭示PARP1特异性催化PKM1在E275/D281/E282/E285/D296位点的PARylation修饰,进而触发其K48/K63型泛素化降解的级联反应。该发现不仅阐明了NUDT13通过拮抗PARP1活性来维持PKM1稳定的精确分子机制,更创新性地建立了ADP-核糖基化修饰与肿瘤代谢酶稳定性调控的直接联系,为开发靶向PARylation-泛素化轴的抗癌药物提供了新策略。
新闻图片8

图6.PARP1诱导PKM1的ADP-核糖基化信号进行泛素化和降解

7、NUDT13通过直接抑制PARP1催化的PKM1 ADP-核糖基化来抑制结直肠癌的发生

通过酶活分析和基因编辑技术,首次揭示NUDT13通过其Nudix结构域中保守的谷氨酸残基(E245/248/249)发挥特异性ADP-核糖水解酶活性,直接清除PARP1介导的PKM1 PARylation修饰。这种独立于经典去PAR化途径的作用机制,在分子、细胞及动物模型层面均得到系统验证,不仅阐明了NUDT13-PKM1轴抑制结直肠癌发生的核心生化机制,更通过Olaparib的挽救效应为临床干预PARylation异常提供了直接证据。
新闻图片9

图7.NUDT13通过抑制PKM1的ADP‐核糖基化来稳定PKM1蛋白

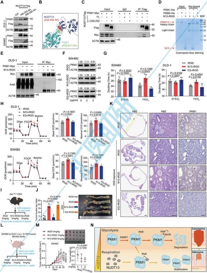
8、NUDT13通过直接抑制PARP1催化的PKM1 ADP-核糖基化来抑制结直肠癌的发生

通过结构生物学与合成生物学相结合的策略,首次证实NUDT13的230-252氨基酸是其调控PKM1稳定性的最小功能单元。基于此设计的穿膜肽N13-iRGD在体外和体内模型中均成功模拟了NUDT13的抑癌功能,且不引发系统毒性。这一发现不仅为开发靶向NUDT13-PKM1互作界面的肽类抑制剂提供了直接依据,更创新性地证明了功能域模拟策略在肿瘤代谢干预中的转化价值。
新闻图片10

图 8. NUDT13 230-252氨基酸具有肿瘤抑制作用

文章小结

本研究整合多组学技术揭示关键分子机制,结合功能验证,首次揭示NUDT13-PKM1轴在CRC发生中的关键作用:NUDT13通过抑制PARP1介导的PKM1 ADP-核糖基化,阻断其泛素化降解,从而维持氧化磷酸化代谢表型,抑制肿瘤起始。并基于NUDT13保守结构域设计的模拟多肽展现出显著抗肿瘤效果,为CRC治疗提供了新策略。
多聚ADP-核糖基化(PARylation)作为近年来炙手可热的翻译后修饰,在DNA修复、转录调控、细胞周期调控、免疫应答等多种生物学过程中,扮演着至关重要的角色。通过深入解析临床分子机制和细胞功能,分值直接上升不止一个梯度!我们可为您提供基础科研相关热门课题思路和技术服务,解决您在基础研究中细胞功能调控的相关机制。只要有想法,右上角联系客服,课题指导/方案设计/定制分析/实验验证这里应有尽有~

上一篇

早知道,早领跑!器官芯片OoC,复刻体外人体器官,或可取代动物实验!

下一篇

Piezo1重现中科院双1区Top!材料学+分子生物学+生物力学,香港中文大学团队交叉创新,为肌腱再生研究树立新范式!

更多资讯

我的询价